Descrizione
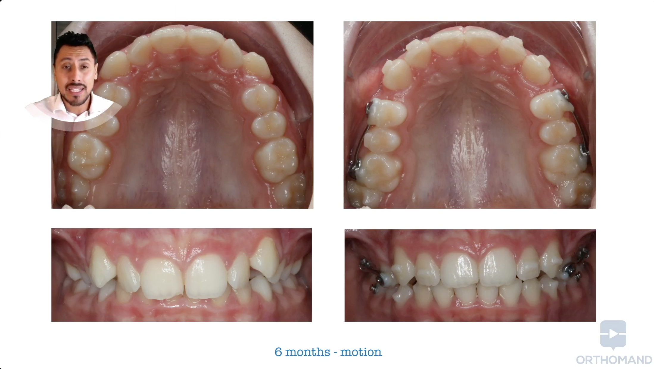
Il Carriere Motion Appliance di Classe II può essere utilizzato nella sua forma classica dai primi molari ai canini, o in quella “shorty” (dai sesti fino ai primi premolari) ed infine, qualora la situazione lo richieda, anche dai secondi molari fino ai quarti. In questo video verrà mostrata l’ampia versatilità terapeutica di questo strumento nella correzione delle problematiche sagittali di classe II e come integrarlo al meglio con l’utilizzo contemporaneo di allineatori trasparenti.
Tipologia di corso
Corso On-demand esclusivo piattaforma Orthomand (realizzato 2020)
Estratti dal corso
Durata
41 Min
Dr. Luis Huanca
- Laurea in Odontoiatria presso l’Università di Milano (2006)
- Specializzazione in Ortognatodonzia presso l’Università di Milano (2009)
- Dottorato di ricerca in Imaging 3D presso l’Università di Milano (2013)
- Short Term Orthodontic Program presso l’Università di Aarhus (2006)
- Relatore nazionale e internazionale
- Autore di numerosi articoli scientifici su riviste internazionali
- Dal 2013 lavora in Svizzera, con il suo studio a Lausanne e Neuchatel.
- Ricercatore all’Università di Ginevra










