Descrizione
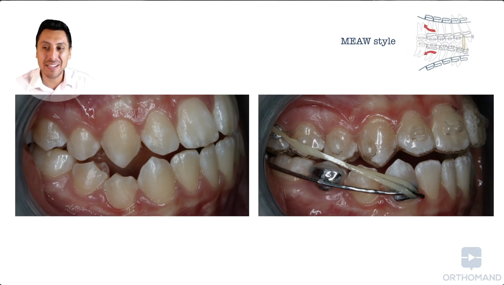
L’ambizione terapeutica del Motion di Classe III è quella di ampliare le possibilità terapeutiche di camouflage nei casi di pazienti borderline in cui si è davvero indecisi se proporre una terapia esclusivamente ortodontica o una preparazione chirurgica. Che sia nella sua forma classica o customizzato in digitale, la sua azione è quella di ruotare anteriormente il piano occlusale e posteriormente la mandibola: in pratica induce un compenso sagittale aumentando la verticalità. È un approccio simile a quello della tecnica MEAW di Sato ma decisamente più semplice da un punto di vista realizzativo, che va inserito di diritto tra i metodi di correzione della CLIII. In questo video verranno mostrate numerose modalità di utilizzo, passando da casi clinici semplici fino quelli più estremi.
Tipologia di corso
Corso On-demand esclusivo piattaforma Orthomand (realizzato 2020)
Estratti dal corso
Durata
58 Min
Dr. Luis Huanca
- Laurea in Odontoiatria presso l’Università di Milano (2006)
- Specializzazione in Ortognatodonzia presso l’Università di Milano (2009)
- Dottorato di ricerca in Imaging 3D presso l’Università di Milano (2013)
- Short Term Orthodontic Program presso l’Università di Aarhus (2006)
- Relatore nazionale e internazionale
- Autore di numerosi articoli scientifici su riviste internazionali
- Dal 2013 lavora in Svizzera, con il suo studio a Lausanne e Neuchatel.
- Ricercatore all’Università di Ginevra










