Descrizione
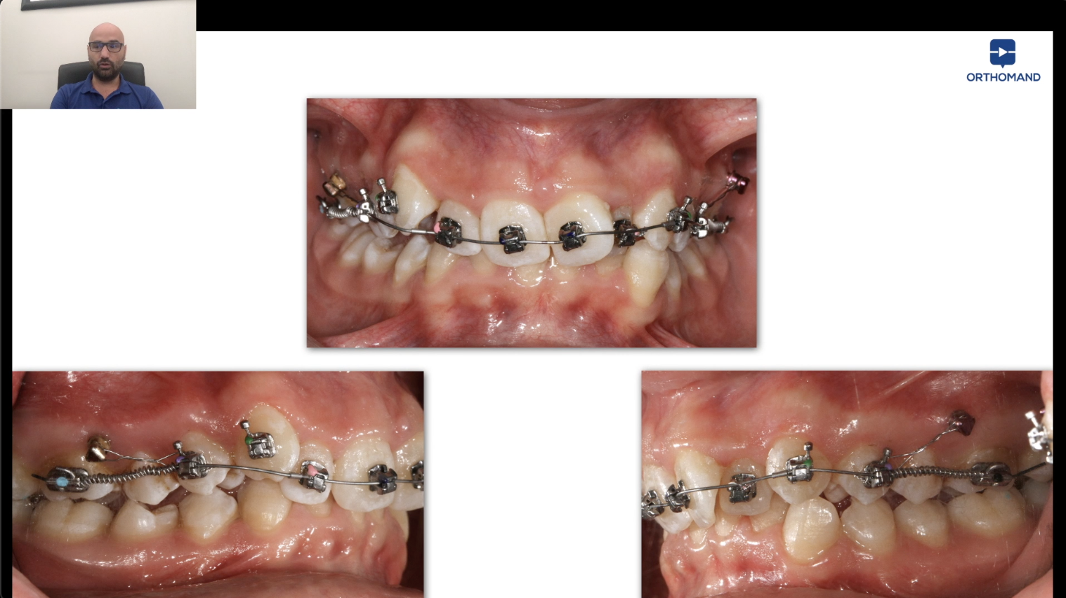
La distalizzazione molare è solo una delle opzioni valide che abbiamo a disposizione per la risoluzione delle malocclusioni di classe II. Rappresenta però, da sempre, una sfida per l’ortodontista legata a una difficoltà oggettiva nella gestione dell’ancoraggio. In questo corso mostreremo tre modi diversi per ottenere una distalizzazione predicibile con l’utilizzo di pochi strumenti di uso “quotidiano”.
Tipologia di corso
Corso On-demand esclusivo piattaforma Orthomand (realizzato 2020)
Cosa imparerai
- Distalizzare bilateralmente utilizzando una vite singola per emiarcata
- Distalizzare un’intera emiarcata senza l’utilizzo di ancoraggi scheletrici
- Distalizzare monolateralmente in una seconda classe suddivisione con un semplice gig modellato
- Gestire la biomeccanica delle classi II
- Principi teorici fondamentali per la risoluzione delle classi II
Estratti dal corso
Durata
52 Min
Dr. Redi Gerxhani
- Laurea in Odontoiatria e Protesi Dentaria Università di Chieti (2006)
- Specializzazione in Ortognatodonzia Università di Chieti (2009)
- Professore a Contratto Scuola di Specializzazione in Ortognatodonzia Chieti (2013-2017)
- Membro dell’Italian Board of Orthodontists
- Membro European Board of Orthodontists
- Autore di pubblicazioni su riviste internazionali
- Relatore in corsi nazionali e internazionali
- Svolge attività esclusiva di ortodonzia presso il suo studio ortodontico a Pescara








