Descrizione
Le estrazioni seriate sono una strategia terapeutica relativamente poco praticata ma di grande efficacia. A dispetto di quello che si possa pensare, questo approccio terapeutico è tutt’altro che datato e si inserisce nel solco dei più moderni trend ortodontici basati sulla “no compliance” del paziente. Scopo del corso è presentare nei dettagli i limiti e le indicazioni di questo approccio terapeutico e l’analisi diagnostica necessaria per eseguirlo al meglio. Verrà chiarito il concetto di affollamento grave e come debba essere misurato durante la dentatura mista precoce, saranno descritti i tempi ed i modi di una gestione ideale della terapia e gli obiettivi realisticamente raggiungibili. Verranno quindi messi in risalto i fattori favorevoli, il corretto sviluppo delle arcate dentali e i vantaggi e gli svantaggi relativi al ricorso alla tecnica delle estrazioni seriate.
Tipologia di corso
Corso On-demand esclusivo piattaforma Orthomand (realizzato 2021)
Cosa imparerai
- Analisi dello spazio in dentatura mista
- Selezionare i pazienti ideali candidati all’estrazioni seriate
- Timing corretto della diagnosi e dell’estrazioni seriate
- Obiettivi della terapia post-estrazioni
- Quando non utilizzare questa metodica
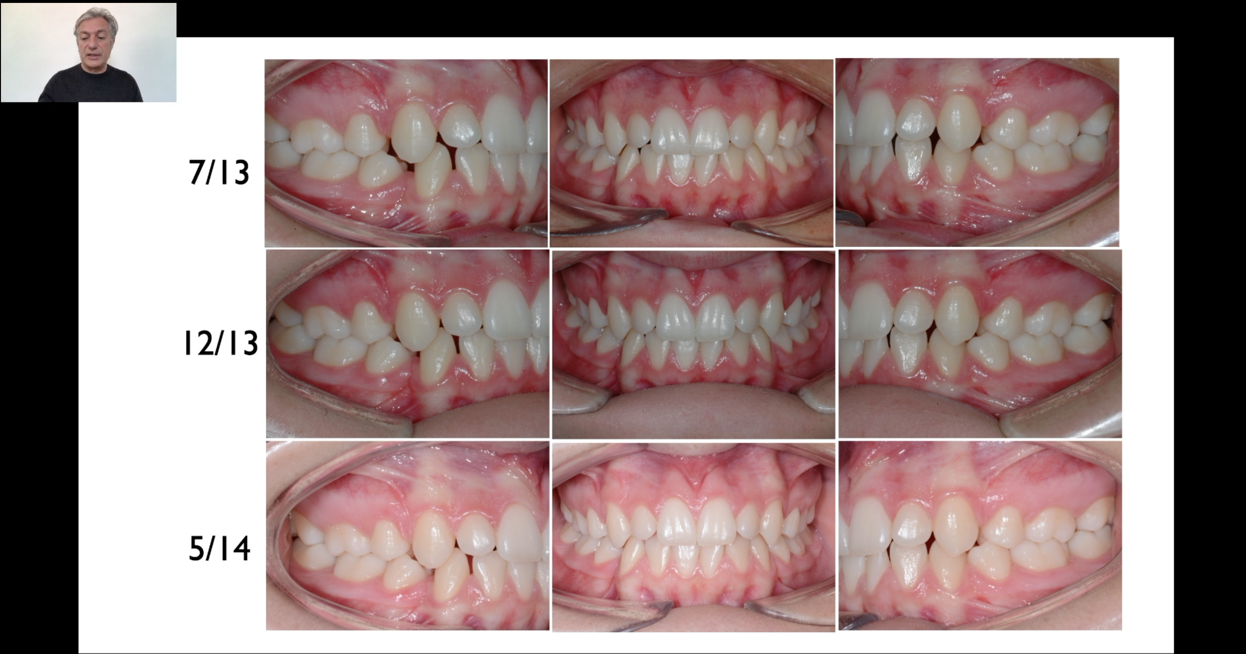
Estratti dal corso
Durata
60 Min
Dr. Fabrizio Lerda
- Laurea in Odontoiatria e Protesi Dentaria presso l’Università degli Studi di Torino (1989)
- Specializzazione in Ortognatodonzia presso l’Università degli studi di Cagliari (2006)
- Diploma di perfezionamento in Ortodonzia Intercettiva presso l’Università degli studi di Parma
- Diploma di perfezionamento in Tecnica Linguale presso l’Università degli studi di Ferrara
- Diploma in Orthodontics and Functional Occlusion presso il Roth Williams Center di San Sebastian in Spagna
- Master di II livello in medicina legale odontostomatologica presso l’Università degli studi di Torino (2019)
- Istruttore al master in Odontoiatria infantile ed Ortodonzia intercettiva presso l’Università degli Studi di Pisa
- Autore del libro “Guida all’occlusione con estrazioni seriate secondo gli insegnamenti di Jack Dale” edito dalla casa editrice Ariedue










