Descrizione
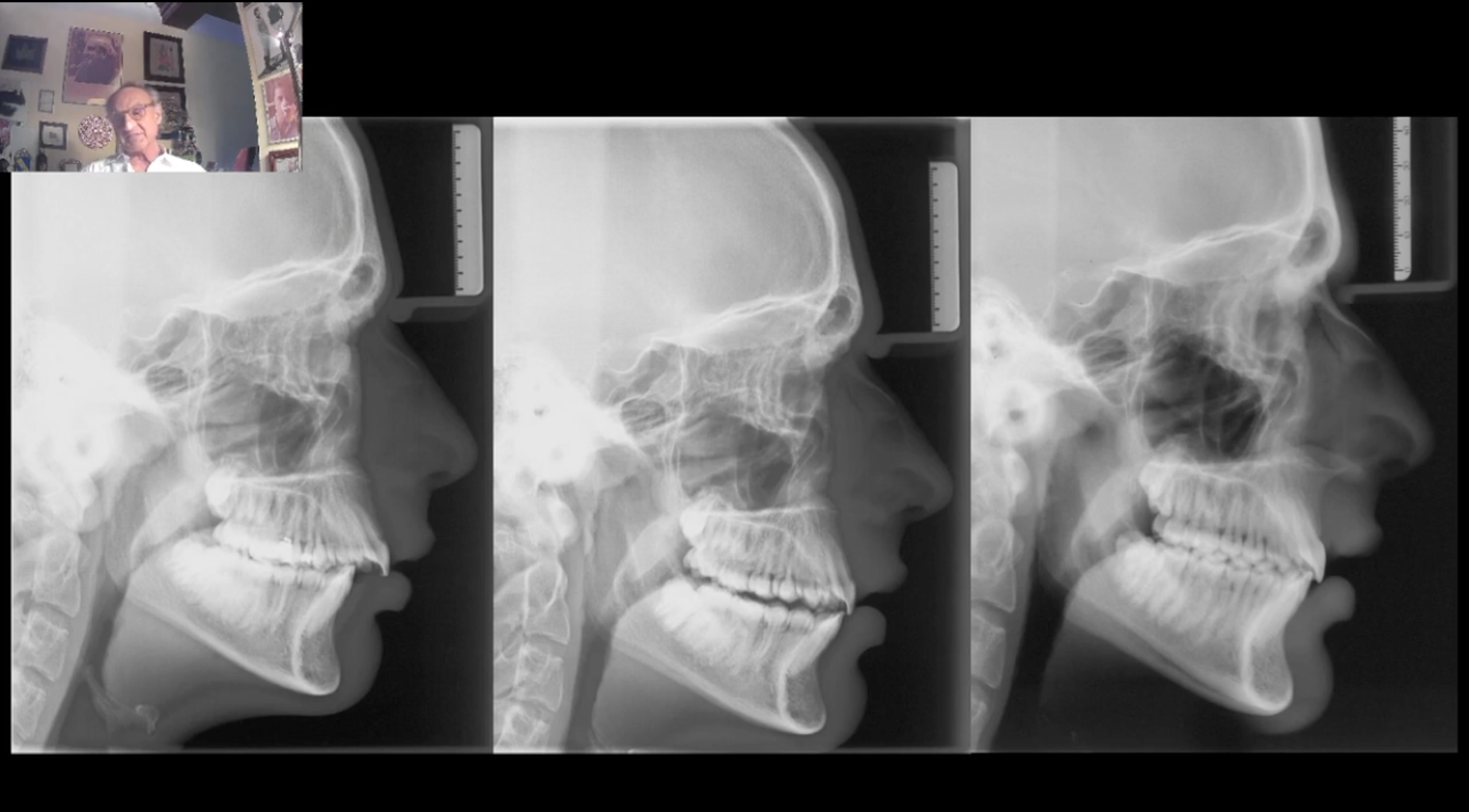
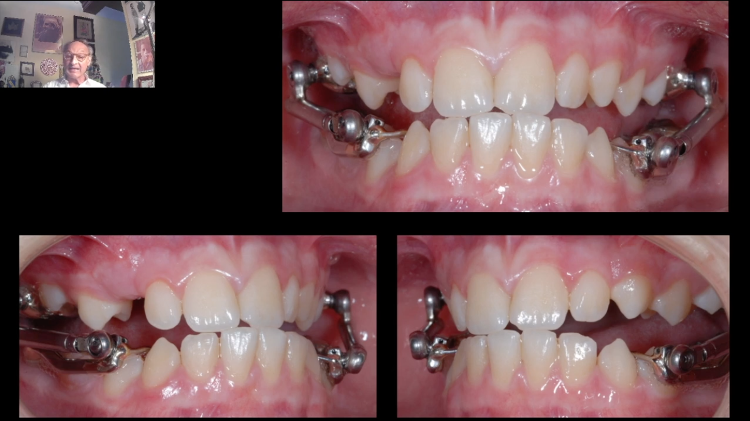
L’apparecchio di Herbst rappresenta attualmente il “gold standard” nel trattamento delle malocclusioni di classe II.
È l’apparecchio “non compliance” per eccellenza ed essendo, le malocclusioni di Classe II, le più frequenti nei nostri studi, ne è evidente l’assoluta importanza nel bagaglio terapeutico di ogni ortodontista.
Il suo uso però presenta una serie di complessità tecniche e cliniche che ne hanno limitato quando non impedito la sua diffusione tra gli ortodontisti.
La conoscenza corretta dei protocolli d’uso, dei diversi tipi di stabilizzazione, degli effetti collaterali, di come evitarli e di come sfruttarli trasforma questa apparecchiatura in un’arma insostituibile per il successo della pratica professionale di ogni ortodontista.
Tipologia di corso
Corso On-demand esclusivo piattaforma Orthomand (realizzato 2021)
Cosa imparerai
- Come usare in sicurezza l’apparecchio di Herbst
- Come stabilizzare l’apparecchio di Herbst
- La documentazione indispensabile per poterlo usare
- Il timing corretto
- Il post-Herbst
Estratti dal corso
Durata
75 Min
Dr. Raffaele Schiavoni
- Specializzato in Ortognatodonzia all’ Università di Cagliari nel 1979 ( III corso )
- Nell’ottobre 1989 vince il premio Maj in occasione del X congresso Sido
- Ha ricoperto vari ruoli nell’ambito del consiglio della Sido fino ad esserne vicepresidente
- Certificato EBO e IBO
- Presidente IBO nel 2005/2006
- Presidente del comitato scientifico dell’Accademia Italiana di Ortodonzia nel 2010
- Autore di numerose pubblicazioni su riviste del settore nazionali ed internazionali
- Dal 2013 al 2017 Editor in Chief dell’European Journal of Clinical Orthodontics
- Docente a contratto presso numerose sedi universitarie italiane










