Descrizione
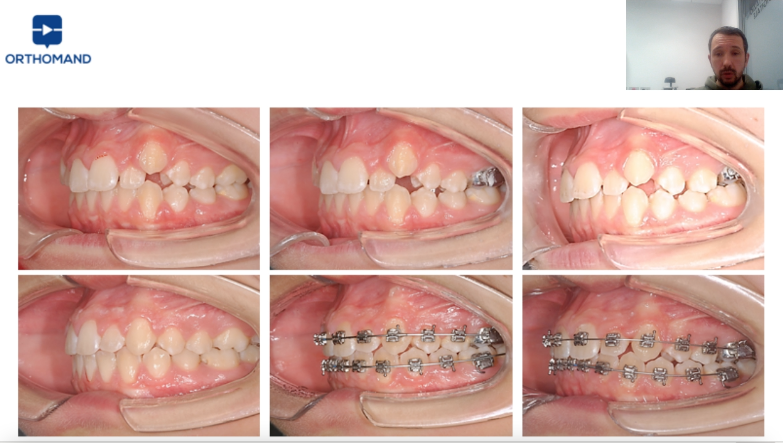
Le 2° classi suddivisione rappresentano una vera sfida per ogni ortodontista ed iniziare da una diagnosi chiara è certamente il punto fondamentale per vincerla; solo partendo da questo presupposto è possibile impostare una terapia efficiente ed efficace. Il dr. Di Leonardo fornisce le linee guida diagnostiche per distinguere i diversi tipi di suddivisione e mostra, attraverso l’analisi di alcuni casi clinici, gli indiscussi vantaggi nell’utilizzo dell’ancoraggio palatale durante la gestione e l’ottimizzazione delle suddivisioni di tipo 2.
Tipologia di corso
Corso On-demand esclusivo piattaforma Orthomand (realizzato 2020)
Cosa imparerai
- A impostare correttamente la diagnosi delle 2° classi suddivisione
- A impostare una terapia correttiva con l’ausilio dell’ancoraggio palatale
- A gestire in modo efficiente le suddivisioni di tipo 2
Estratti dal corso
Durata
42 Min
Dr. Bruno Di Leonardo
- Laurea in Odontoiatria presso l’Università di Verona nel (2008)
- Specializzazione in Ortognatodonzia presso l’Università di Trieste (2012)
- Professore a contratto presso la Scuola di Specializzazione in Ortognatodonzia Università di Trieste dal 2014
- Autore di diverse pubblicazioni scientifiche su riviste internazionali
- Relatore a livello nazionale e internazionale










