Descrizione
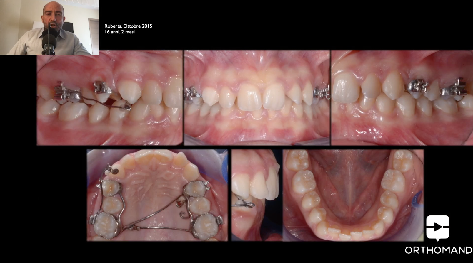
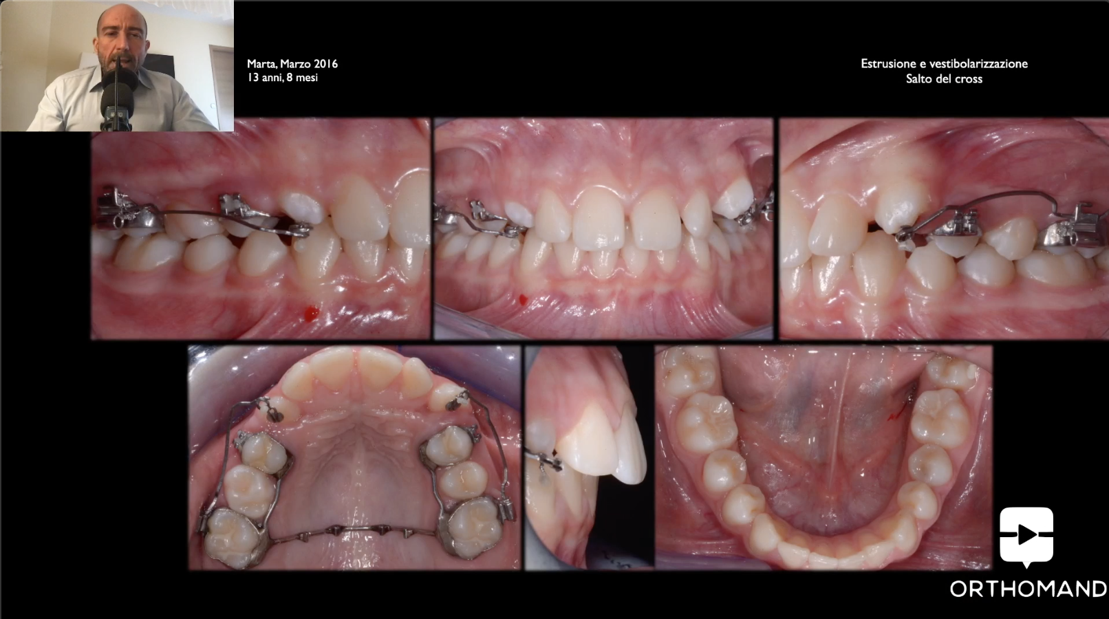
La mancanza di spazio in arcata è la più frequente causa di inclusione canina vestibolare ma tale condizione incide molto meno qualora l’inclusione sia palatale. Per questo motivo, qualora ci si trovi ad affrontare un canino incluso palatalmente, è quasi sempre preferibile iniziare il trattamento dalla trazione dell’elemento incluso, trasformando così un caso inizialmente molto complesso in uno di più semplice gestione. Un approccio facilmente realizzabile, sicuro e predicibile è quello che prevede l’utilizzo di ancoraggi palatali saldati associati a cantilever.
Tipologia di corso
Corso On-demand esclusivo piattaforma Orthomand (realizzato 2020)
Cosa imparerai
- In quali casi è consigliabile il trazionamento preliminare del canino
- I vantaggi delle strutture palatali saldate rispetto ad altre forme di ancoraggio
- Caratteristiche e prescrizione di una buona struttura di ancoraggio
- Come gestire clinicamente il trazionamento
- Case gallery
Estratti dal corso
Durata
45 Min
Dr. Francesco Fava
- Laurea in Odontoiatria, Università di Torino
- Specializzazione in Ortodonzia, Università di Torino
- Master in Biomeccanica in Ortodonzia, Università di Siena
- International postgraduate, Aarhus Universitet (Danmark)
- Relatore a corsi e congressi nazionali e internazionali
- Libera professione, Torino e Aosta










