Descrizione
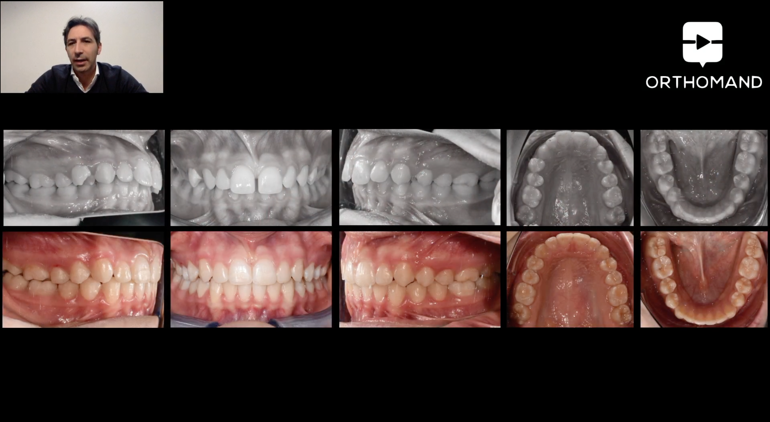
Il morso profondo è una delle malocclusioni che incontriamo più frequentemente nei nostri pazienti. Gli allineatori sono generalmente poco efficaci nel controllare ottimamente l’apertura del morso e per questo motivo vengono spesso non selezionati tra le scelte terapeutiche possibili per risolvere il deep-bite. In questo corso il Dr. Pasciuti ci mostrerà le strategie e le modifiche che apporta durante la pianificazione dei suoi ClinCheck con l’obiettivo di aumentare la predicibilità della correzione del morso profondo. A supporto di queste strategie verranno mostrati dei casi clinici trattati dall’autore.
Tipologia di corso
Corso On-demand esclusivo piattaforma Orthomand (realizzato 2021)
Cosa imparerai
- A comprendere quali sono i limiti degli allineatori nella correzione del deep-bite
- Come superare i limiti biomeccanici degli allineatori
- Gli attachment più indicati per supportare l’apertura del morso
- Come modificare il setup di un ClinCheck per rendere più predicibile l’apertura del morso
- Come modificare lo staging di un ClinCheck per rendere più predicibile l’apertura del morso
Estratti dal corso
Durata
61 Min
Dr. Enzo Pasciuti
- 2004: Laurea in Odontoiatria, Università degli Studi di Milano
- 2007: Specializzazione in Ortognatodonzia, Università degli Studi di Milano
- Dal 2007: Invisalign Provider
- 2008-2012: Prof. a.C. Scuola di Specializzazione di Milano
- Dal 2017: Diamond II Provider Invisalign
- Dal 2017: relatore dei corsi “AlignerPro: Impara a prendere il controllo dei tuoi casi Invisalign”
- Dal 2018: Prof. a.C. Scuola di Specializzazione “Tor Vergata”, Roma
- 2018: Conseguimento dell’I.B.O.A. (Italian Board of Orthodontic Aligner)
- Dal 2019: Align Official Speaker
- 2019: Conseguimento dell’E.B.O (European Board of Orthodontists)










