Descrizione
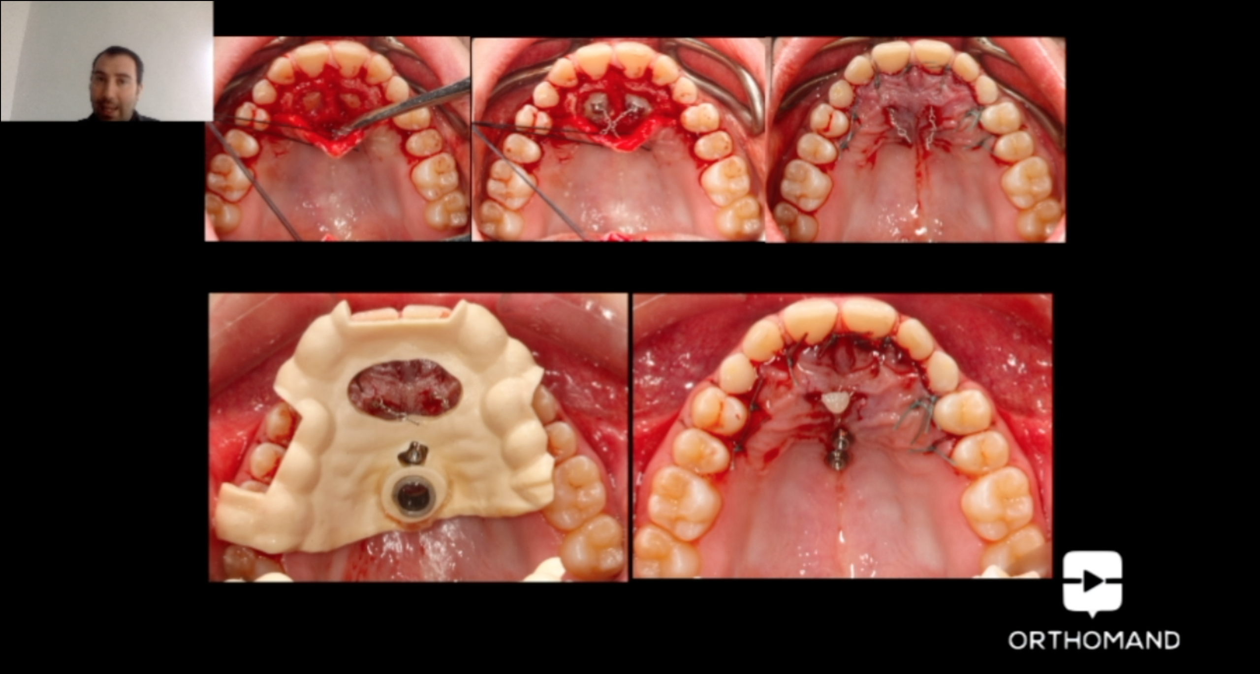
La disinclusione del canino palatale rappresenta una vera sfida per l’ortodontista. Molte tecniche classicamente utilizzate mostrano rischi e limiti di predicibilità clinica. La finalità del corso è esporre un nuovo approccio di trattamento all’inclusione palatale del canino. Attraverso la scelta di ancoraggi scheletrici e di meccaniche segmentate è possibile trattare in maniera predicibile, efficiente ed efficace tale rilevante problematica ortodontica riducendo molti classici effetti avversi, senza alcun impatto estetico e di compliance del paziente. Il workflow digitale fornisce, inoltre, un valore aggiunto in termini di pianificazione dell’ancoraggio scheletrico, di piena individualizzazione del dispositivo ortodontico e di aiuto nella gestione segmentata della tecnica di disinclusione.
Tipologia di corso
Corso On-demand esclusivo piattaforma Orthomand (realizzato 2021)
Cosa imparerai
- Come ridurre i rischi associati al trattamento del canino incluso palatale
- Pianificare l’ancoraggio scheletrico e selezionare il sito adeguato
- Ottimizzare le informazioni diagnostiche derivanti dall’esame CBCT
- Come disegnare dispositivi digitali customizzati di disinclusione
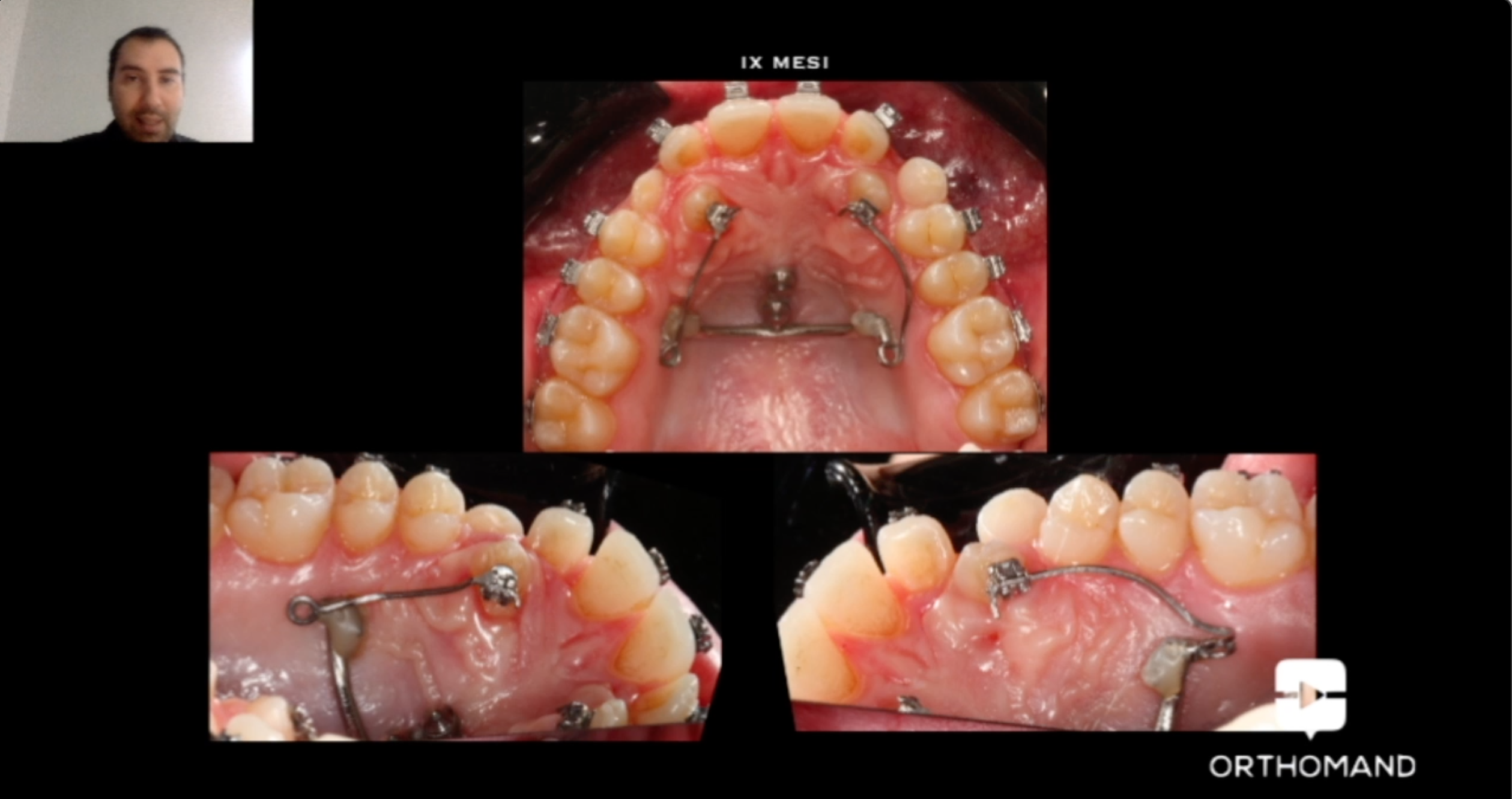
- Modellare i sezionali di disinclusione e di traslazione vestibolare
- Gestire tale meccanica attraverso esempi clinici e dimostrazioni video
Estratti dal corso
Durata
59 Min
Dr. Fabio Annarumma
- Nel 2008 consegue la laurea con lode in Odontoiatria e Protesi Dentaria presso Sapienza Università di Roma
- Nel 2012 si specializza con lode in Ortognatodonzia, presso Sapienza Università di Roma
- Nel Marzo del 2016 consegue il Dottorato di Ricerca in Malattie Odontostomatologiche presso il Dipartimento di Scienze Odontostomatologiche e Maxillo Facciali, Sapienza Università di Roma
- Dal 2016 al 2018 è Assegnista di Ricerca presso il Dipartimento di Scienze Odontostomatologiche e Maxillo Facciali, Sapienza Università di Roma
- Nell’Aprile 2018 vincitore del Premio Migliore Presentazione, “Memorial Alfredo Martina”
- Docente presso la Scuola di Specializzazione di Ortodonzia dell’Albanian University di Tirana
Dr. Giovanni Battista
- Laureato con Lode in Odontoiatria e Protesi Dentaria presso l’Università degli Studi di Foggia nel 2010
- Master di II Livello in Ortognatodonzia presso la stessa Università nel 2012
- Specializzato con Lode in Ortognatodonzia presso l’Università degli Studi di Roma Sapienza nel 2016
- Corso avanzato in Differential Diagnosis, Directional Force and System Edgewise mechanotherapy presso la Tweed Foundation in Tucson, Arizona
- Dal 2016 Tutor per l’attività assistenziale e seminariale nel corso di Ortodonzia presso l’Università degli Studi di Foggia
- Autore di articoli scientifici su riviste nazionali e internazionali
- Svolge la libera professione a Foggia










