Descrizione
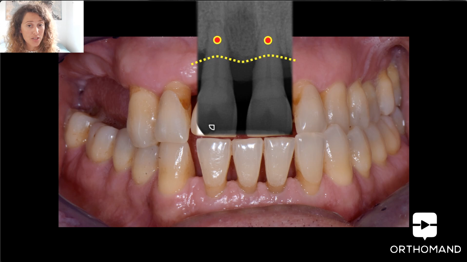
I concetti di forza, momento e coppia, pur risultando alle volte ostici e apparentemente astratti, ci aiutano a gestire e controllare nel migliore dei modi i protocolli ortodontici, rendendo i movimenti controllati e predicibili. In questo video tali concetti verranno espressi in maniera semplice, completa e facilmente comprensibile da chiunque, soffermandosi sull’utilità ortodontica di ognuno di loro
Tipologia di corso
Corso On-demand esclusivo piattaforma Orthomand (realizzato 2020)
Cosa imparerai
- La forza: il concetto base della biomeccanica ortodontica
- Il centro di resistenza: il centro di controllo del movimento dentale
- Momento: quando i denti cominciano a ruotare e le cose a complicarsi
Estratti dal corso
Durata
78 Min
Dr.ssa Lucia Perdoni
- Laurea in Odontoiatria e Protesi Dentaria Università degli Studi di Genova
- Specializzazione Ortognatodonzia Università degli Studi di Torino
- Corso di Perfezionamento in Revisioni Sistematiche e Meta-Analisi Cochrane
Università di Modena - Esclusivista in Ortodonzia










