Descrizione
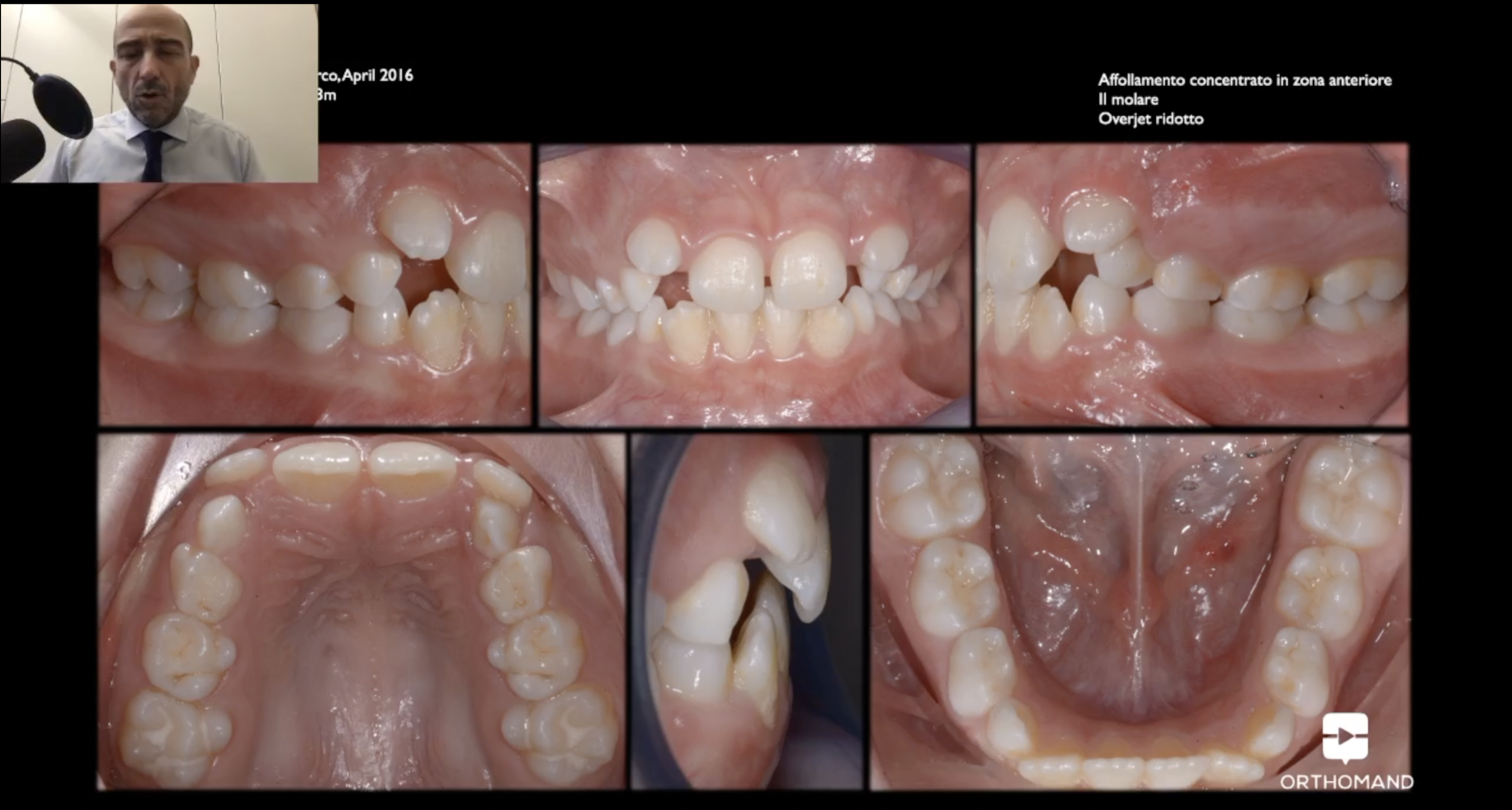
Una malocclusione di frequente riscontro e complessa gestione clinica é la seconda classe molare e premolare associata a overjet solo moderatamente aumentato (il cosiddetto “mascellare corto”) ed a un’arcata inferiore poco affollata. Questa malocclusione, non sempre facile da identificare precocemente, é causa di temibili inclusioni canine vestibolari oppure di indesiderabili eruzioni vestibolari alte del canino. L’approccio terapeutico convenzionale, con apparecchiature, prevede la distalizzazione molare finalizzata al conseguimento della prima classe molare e premolare e all’aumento degli spazi per il canino. Purtroppo la distalizzazione molare é una procedura indaginosa dal punto di vista tecnico e comporta trattamenti ortodontici lunghi e a rischio di complicanze. Esiste tuttavia una alternativa ben più semplice: quella della estrazione dei primi premolari che può essere effettuata durante la permuta e senza apparecchiature, con timing ben precisi e in casi ben selezionati, che permette di risolvere l’affollamento sul nascere, impedendone lo sviluppo e consentendo di ottenere occlusioni di classe 2 molare e premolare associate a overjet fisiologico. Scopo del videocorso é quello di descrivere criteri di selezione, indicazioni e controindicazioni, protocolli e possibili criticitá al fine di guidare il clinico ad una tecnica che può rappresentare una arma vincente e strumento di semplificazione in casi altrimenti estremamente molto complessi.
Tipologia di corso
Corso On-demand esclusivo piattaforma Orthomand (realizzato 2023)
Cosa imparerai
- a identificare in quali casi é indicato il protocollo delle estrazioni in permuta dei due primi premolari superiori e in quali invece no
- a riconoscere i segnali clinici e radiologici precoci per identificare con sicurezza i pazienti nei quali il protocollo é indicato
- la corretta sequenza di estrazioni
- le strategie comunicative per condividere con la famiglia del paziente in modo efficace e rassicurante i vantaggi della tecnica
- Case gallery
Estratti dal corso
Durata
52 Min
Dr. Francesco Fava
- Laurea in Odontoiatria, Università di Torino
- Specializzazione in Ortodonzia, Università di Torino
- Master in Biomeccanica in Ortodonzia, Università di Siena
- International postgraduate, Aarhus Universitet (Danmark)
- Relatore a corsi e congressi nazionali e internazionali
- Libera professione, Torino e Aosta








